アゴが出ている、アゴがずれているのが気になる方へ
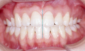
下顎前突(下アゴが前に出ている状態)
下アゴが前に出ていますが、治療後に下アゴの突出感が改善されました。
治療前
治療後
主訴 下のアゴが出ている 診断名 下顎前突、反対咬合、叢生 年齢 21歳 動的治療期間 2年5か月 治療費 保険適応のため自己負担額はおよそ20万-30万円 矯正装置 マルチブラケット装置 外科的矯正治療による上下顎移動術
主な偶発症やリスク
- ・動的治療中のむし歯や歯肉炎、歯周炎
- ・歯根吸収(歯の根っこが少し短くなること)
- ・歯肉退縮(歯ぐきがさがること)
- ・治療後に若干の歯の凹凸やすき間ができる可能性があること
- ・知覚麻痺や出血など手術や全身麻酔に関わるリスク
下顎側方偏位(下アゴが、左右どちらかにずれている。顔がまがっている。)
顔が右の方へまがっていますが、治療後に顔のまがりが改善されました。
治療前
治療後
主訴 下のアゴが横にずれている 年齢 16歳 診断名 下顎左方偏位、偏位咬合、叢生 動的治療期間 3年5か月 治療費 保険適応のため自己負担額はおよそ20万-30万円 矯正装置 マルチブラケット装置 外科的矯正治療による上下顎移動術 抜歯部位 右上4、左上4、右下4、左下4
主な偶発症やリスク
- ・動的治療中のむし歯や歯肉炎、歯周炎
- ・歯根吸収(歯の根っこが少し短くなること)
- ・歯肉退縮(歯ぐきがさがること)
- ・治療後に若干の歯の凹凸やすき間ができる可能性があること
- ・知覚麻痺や出血など手術や全身麻酔に関わるリスク














